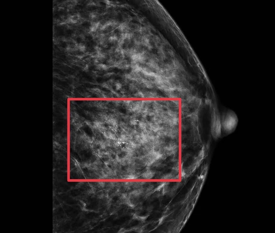
在乳腺癌治疗领域,总有一些病例因其特殊的挑战性而显得尤为珍贵。近日,和祐医院苏逢锡乳腺肿瘤中心团队就遇到了这样一位特殊的患者——穿刺病理诊断为导管原位癌,但术前钼靶检查显示钙化广泛分布,分布于接近半个乳房,保乳困难。按照常规诊疗标准,如此大范围的病灶通常建议行乳房全切术。

医患同心,共闯保乳新路径
面对这一复杂情况,患者和家属表达了强烈的保乳意愿。"我们还很年轻,真的很希望能保住乳房。"患者家属的恳切诉求,让医疗团队深感责任重大。
在充分评估病情并与患者家属深入沟通后,苏逢锡教授团队做出了一个大胆而负责任的决定:在确保肿瘤完整切除的前提下,尊重患者意愿,挑战这一高难度的极限保乳手术。
"每个患者的情况都是独特的。"苏教授在术前讨论中表示,"当患者的强烈意愿与我们的专业技术判断相契合时,我们愿意为他们闯一闯。
精密规划,三步完成高难度手术
精准分期,前哨活检
手术始于精确的前哨淋巴结活检。 术前 15 分钟,团队在超声引导下,于患者左侧可疑肿物皮下及腺体周围精准注射亚甲蓝注射液。通过轻柔按摩促进显影后,仅在左侧腋窝取 3 厘米横切口,便成功探查并分离出蓝染淋巴管引流的三枚前哨淋巴结。这一精准的微创操作,既为手术方案的制定提供了关键依据,也最大限度地减少了手术创伤。
精准切除,确保安全
经活检明确腋窝淋巴无转移后,团队开始了保乳手术的核心步骤。取左侧乳房外下皱襞弧形切口,精细分离皮下组织,准确定位肿瘤所在。随后,团队沿肿物周围 1.0 厘米安全边界完整切除肿物(切除范围:9*7*2 cm),并同步获取乳头后组织及手术残腔周边多处边缘组织送检。通过术中冰冻病理检查,实时评估切缘是否阴性,为保乳成功奠定了坚实的安全基础。
数日后,最终的病理报告带来了确切的答案:术后石蜡病理证实,所有切缘均为阴性。 这份被视为诊断「金标准」的报告,为本次极限保乳手术的肿瘤学安全性提供了权威的最终确认。
精细重建,重塑美丽
由于肿瘤切除后导致左侧乳房 40%-50% 的体积缺损,团队决定行左侧肋间动脉穿支皮瓣部分乳房重建术。这一步骤极具挑战:
术前,团队通过彩色多普勒精确定位左侧肋间动脉穿支位置;术中,巧妙设计包含穿支在内的左侧胸壁梭形切口,精确计算皮瓣体积与乳房缺损相当。在保留穿支血管的前提下,团队将皮瓣精心旋转填塞至左乳残腔,并通过调整患者体位、精细修整乳腺组织,实现双侧乳房的对称重建。
整个过程犹如精密的艺术品创作,每一个环节都凝聚着团队丰富的经验和精湛的技术。

技术引领,定义保乳新标准
这台手术充分展现了苏逢锡乳腺肿瘤中心的专业技术实力:
保乳理念: 在确保肿瘤学安全的前提下,将乳房外形与功能的保留作为核心目标;
精准手术技术: 结合超声引导、术中冰冻病理等先进技术,实现肿瘤的精准切除与安全评估;
高级重建能力: 掌握并成熟应用穿支皮瓣等显微外科技术,实现乳房的精准即刻重建。
国之名医团队,守护佛山市民健康
此次成功手术的背后,是苏逢锡教授带领的顶尖乳腺专科团队的强力支撑。作为荣获"国之名医·卓越建树"称号的专家,苏逢锡教授带领团队整建制入驻和祐医院,将三十年积累的宝贵经验和先进技术完整引入佛山。
团队成员各有所长,配合默契,形成了强大的多学科协作能力。从术前评估、手术方案制定,到术后康复管理,每一个环节都有相应领域的专家保驾护航。更重要的是,团队将常驻佛山开展诊疗工作,让市民在家门口就能享受到与广州同质化的顶尖医疗服务。

以患者为中心,提供个性化诊疗
"每位患者的情况都是独特的,我们需要根据肿瘤特性、患者个人需求,制定真正个体化的治疗方案。"苏逢锡教授强调。

这种个体化诊疗理念贯穿在中心的每一个环节。团队不仅关注疾病的治愈,更注重患者的生活质量和心理健康,力求在根治疾病的同时,最大限度保留患者的身体完整和心灵尊严。

专业与关怀并重,技术与温度共存
和祐苏逢锡乳腺肿瘤中心现已正式接诊,如果您或家人需要乳腺疾病诊疗服务,欢迎通过以下方式咨询预约:请关注"和祐健康"服务号。

国之名医团队常驻佛山,
让精湛医术守护您的健康与美丽。
注:本文涉及病例资料均已获得患者授权,为保护患者隐私,个人信息已进行去标识化处理。
本文作者>>>苏逢锡乳腺肿瘤中心 尤秋婷(主治医师),冯芊竹(住院医师)
本文指导>>>苏逢锡乳腺肿瘤中心 苏逢锡教授(主任医师)
(因患者个体存在差异,治疗效果也因人而异,具体请咨询专业医生。)


