三年前,L女士的人生按下了暂停键。那时,她被诊断出腹腔多发性良性肿块。某一线城市最好的三甲医院病理诊断显示是良性肿瘤,在医生建议下,L女士接受了手术切除。但术后病情没有向她期望的方向好转,相反肿瘤进展迅速,医院虽然给予了L女士挽救性放射治疗,但同样治疗效果甚微。经一位银行的朋友介绍,L女士几经辗转来到了和祐医院肿瘤医学中心找到国际肿瘤专家陆嘉德副院长看诊。在复评后,陆嘉德教授意识到情况并不简单,肿瘤的生物分子行为呈现明显的恶性特征,初步断定是恶性肿瘤。陆院长建议立即与美国纪念斯隆-凯特琳癌症
年龄与身体状况,绝非抗击癌症的阻碍!在我院,多学科协作正为高龄、无法耐受手术的肺癌患者点燃新希望。近期,两位80多岁的肺癌患者(爷爷/奶奶),通过SBRT(立体定向体部放疗)联合 4DCT(四维CT)的无创治疗,首次复查传来喜讯 —— 肺部病灶控制良好!
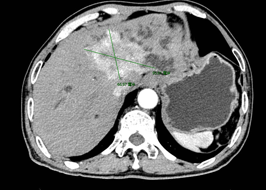
七旬患者王先生(化名)3个月前发现自己的尿液颜色异常发黄,严重时甚至黄得如浓茶水般。同时,他的上腹部也经常胀痛,并伴随反酸和烧心的感觉,这些症状似乎在暗示着某种严重疾病,让他非常焦虑。
“从脚背痛到全身麻,整夜疼得睡不着,右边身子像废了一样动不了...没想到手术后三天,我就能自己下地走了!”在和祐医院骨科病房里,75岁的张阿姨(化名)激动地讲述着她从剧痛瘫痪到重获新生的经历。支撑这一惊人转变的,是骨一科团队完成的一台被称为“脊柱外科挑战”的高风险手术——成功为张阿姨实施了AI导航显微镜辅助下的颈椎恶性肿瘤En-bloc整块切除及3D打印椎体重建术。
60岁的李女士(化名)直肠癌术后2年,复查时发现右肺新发病灶。得知这个消息她一度陷入绝望。手术做了,化疗也坚持完成了,癌症还是卷土重来了……抱着一丝希望,李女士来到和祐医院就诊。经过和祐医院肿瘤医学中心多学科团队(MDT)的深度会诊,放疗科、肿瘤内科、外科、影像科专家共同研判后,给出了一个关键结论:这并非广泛扩散的"全面战争",而是转移灶数量极为有限的"寡转移"状态!